Kedi ve köpeklerde ortopedi cerrahisi alanında tecrübeli olan Veteriner Hekim İsmail Serdar Sayar, yılların verdiği birikimle, en zorlu vakalarda bile mutluluk veren sonuçlar elde etmektedir. Kliniğinde en modern ve ileri teknoloji cihazları kullanarak, minik dostlarımızın sağlıklarını en üst düzeyde korumayı amaçlamaktadır.
Hayvan dostlarımızın sağlığı ve mutluluğu için Adana’da güvenle başvurabileceğiniz Veteriner Hekim İsmail Serdar Sayar, sevdiklerinizin güvenilir ellerde olduğunu bilmenin huzurunu sizlere sunar.
ACİL VETERİNER KLİNİĞİ ADANA-0 552 807 82 O8
Omurga Kırığı ve Fıtığı Nöroşirurji Ameliyatları
Ortopedi Cerrahi
Kedi Köpek Yumuşak Doku Ameliyatları
Kedi Köpek Jinekoloji
Kulak Hastalıkları
Deri Hastalıkları
Solunum Yolu Hastalıkları
Kısırlaştırma
Üriner Sistem Hastalıkları
Dişileştirme Ameliyatı
Laboratuvar Hizmetleri
Aşılama Hizmetleri
Damak Yarığı Tedavisi ve Protez Damak Ameliyatı
Kedi Köpekte Mikroçip Uygulaması
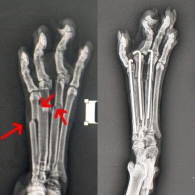
Kedi ve köpeklerde ortopedi cerrahisinde başarı
Adana’da veterinerlik alanında yılların verdiği tecrübe ile, sevimli dostlarınızın sağlığını en üst düzeyde koruyoruz.
Adana’da veterinerlik alanında yılların verdiği tecrübe ile, sevimli dostlarınızın sağlığını en üst düzeyde koruyoruz.
Bir Veteriner Hekim Belgeseli
Adana’nın saygın bir veteriner kliniği olarak, sevdiklerinizin sağlığını ön planda tutan çözümlerle yanınızdayız.
Ameliyat Başarısı
Mutlu Patiler
Mutlu Sahipler
Minik dostlarınızın sağlığını korumak ve onların yaşam kalitesini artırmak için, uzman veterinerlik hizmetlerimizle her zaman yanınızdayız.




